胸段(T3-T12)脊髓损伤(SCI)常导致下肢运动神经元(MNs)丢失,引发瘫痪、尿失禁、粪失禁 ,临床治疗难度大。现有脊髓类器官(sOrgs)无法复现:胸段节段异质性(如HOXC9⁺胸段MNs缺失);背腹轴(D-V)空间分布(背侧感觉神经元与腹侧运动神经元排列紊乱);功能整合(难以形成成熟突触与神经环路,无法恢复感觉-运动功能)。
2025年10月24日,同济大学朱融融和程黎明团队在Nature Biomedical Engineering(IF=26.6)上发表题为“Engineered thoracic spinal cord organoids for transplantation after spinal cord injury”相关文章,研究以成纤维细胞来源的诱导多能干细胞(iPSCs)为基础,结合层状双氢氧化物(LDH)基质与基底膜水凝胶(Matrigel),构建出具有胸段特异性的工程化脊髓类器官(enTsOrg)。该类器官能精准匹配移植部位,在胸段完全横断脊髓损伤(SCI)小鼠模型中,通过促进运动神经元和中间神经元亚型的成熟与功能化、建立突触连接及增强神经电传导,显著恢复瘫痪小鼠后肢运动功能,为神经损伤治疗中特定解剖区域类器官设计提供新方向。

该研究在同济大学脊柱脊髓损伤再生修复教育部重点实验室、同济大学细胞干性与命运编辑前沿科学中心两大研究平台支撑下,由国家杰出青年科学基金、科技部国家重点研发计划和国家自然科学基金委重点项目等资金支持完成。朱融融教授、程黎明教授为论文共同通讯作者,朱颜菁、黄蕊奇、于立群为论文共同第一作者。
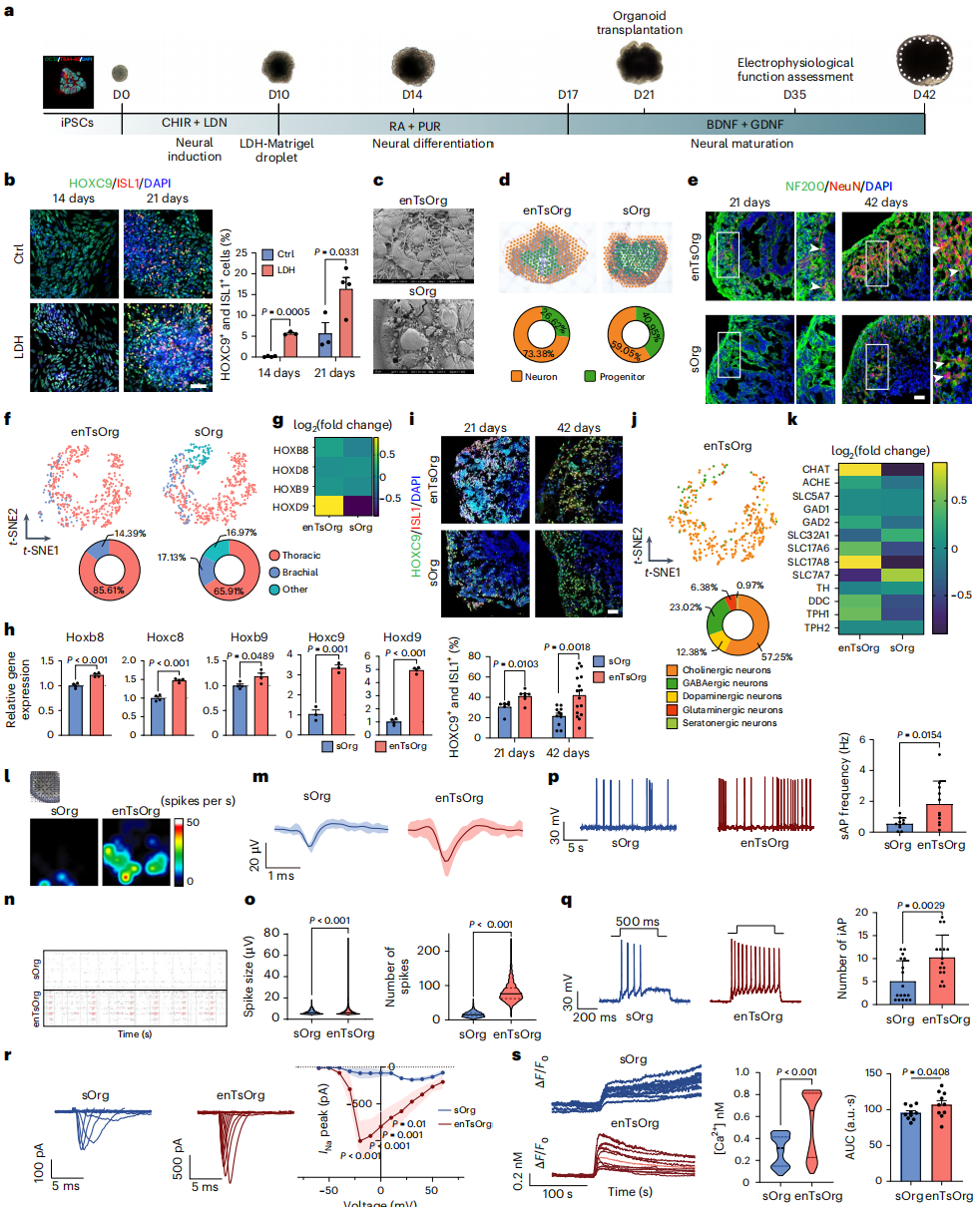
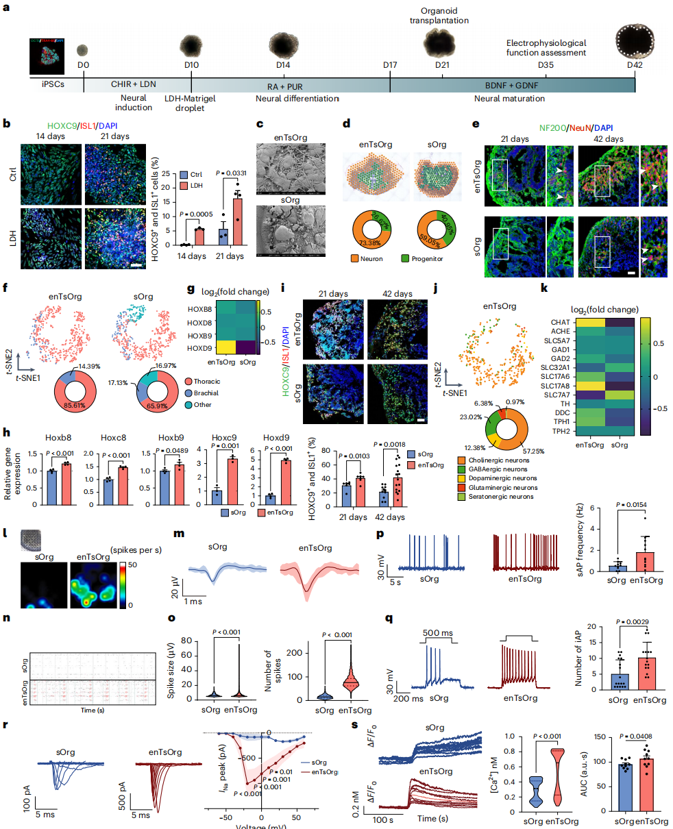
以成纤维细胞来源的诱导多能干细胞(iPSCs)为起始细胞,在神经分化阶段开展iPSC球状体LDH-基质胶包埋实验,将iPSC球状体包埋于经X射线光电子能谱、X射线衍射验证理化特性、扫描电镜观察表面形态的LDH-基质胶(具良好神经元生长适配性与生物相容性)中;培养过程中通过类器官形态观察实验记录,21天时类器官直径达约1.5mm,42天形成含大量成熟神经元(NeuN⁺)与密集神经纤维(NF200⁺)的结构。特性验证阶段,通过空间转录组测序(ST-seq)、RNA测序(RNA-seq)、定量PCR(qPCR)、免疫荧光染色实验检测,证实enTsOrg胸段特征显著(HOXC9、HOXB9等胸段标志物基因高表达,ChAT⁺胆碱能神经元占比提升);通过多电极阵列(MEA)检测、全细胞膜片钳实验评估电生理活性,发现其峰电位发放频率、自发动作电位频率、钠电流峰值均显著高于普通脊髓类器官(sOrg);通过钙成像实验检测胞内钙浓度变化,证实其对KCl刺激的响应更强。这些实验共同证实enTsOrg呈“中心神经元胞体-外周神经纤维”的类脊髓结构,在改善脊髓损伤所致运动功能障碍方面潜力显著。

图1 通过enTsOrg技术重建胸神经管节段形态发生及放电特性的实验过程
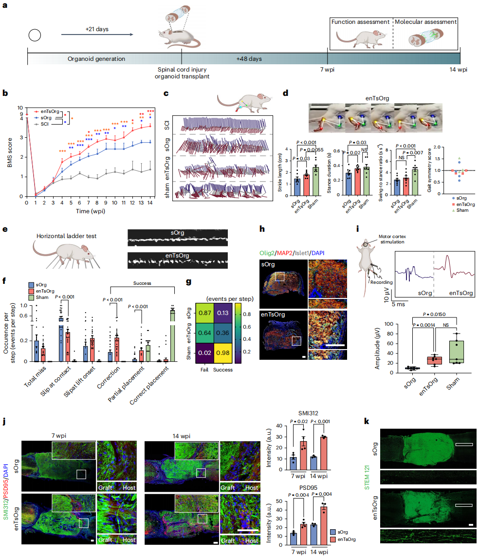
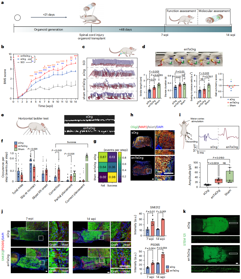
研究人员确定了21天enTsOrg为最佳移植阶段(较42天类器官凋亡率低、干细胞含量高且功能恢复好,且移植后无过度增殖或致瘤性,LDH可保护细胞抗缺氧凋亡);随后通过BMS评分、数字足迹分析、水平梯实验证实,enTsOrg移植能显著改善小鼠后肢运动功能(如步态对称性接近1、运动成功完成率0.36),效果优于sOrg;进一步通过运动诱发电位(MEP)检测、神经纤维观察、突触蛋白检测及神经示踪实验(生物素化葡聚糖胺BDA,将伪狂犬病毒PRV),证实enTsOrg可与宿主形成神经连接、重建神经环路(如MEP振幅26.70±8.46μV),同时还能通过提升感觉神经元相关标志物表达,恢复小鼠机械与热刺激感觉功能,表明enTsOrg是修复胸段脊髓损伤的有效方案。

图2 将enTsOrg移植至胸段脊髓损伤后,可显著恢复运动与神经功能
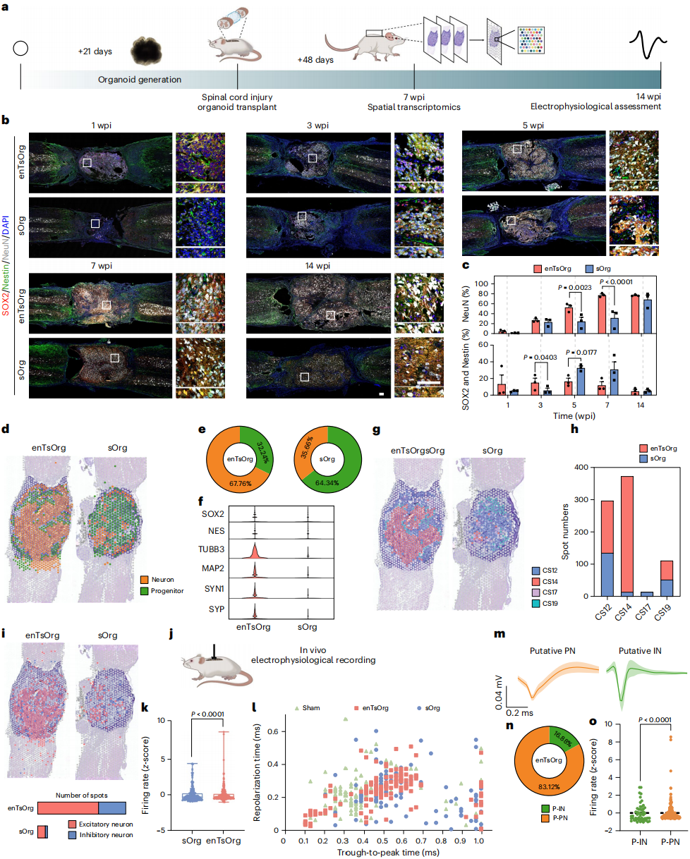
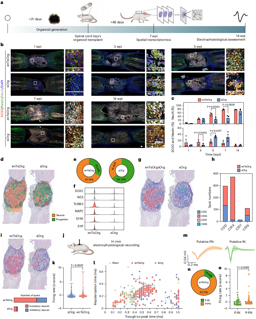
经免疫染色与空间转录组测序(ST-seq)证实,enTsOrg移植后神经祖细胞(Nestin⁺/SOX2⁺)先快速增殖,后成熟神经元(NeuN⁺)占比达67.76%(远高于sOrg),且成熟神经元相关基因(神经突形成的TUBB3、轴突形成的MAP2、突触发育的SYP和SYN1等)高表达;对比人类脊髓发育分期,enTsOrg发育进程更快(对应卡内基分期(CS)CS14期,sOrg对应CS12期)。其次,enTsOrg中兴奋性(SLC17A6⁺)与抑制性(GAD1⁺)神经元分布广泛且比例接近生理状态,利于与宿主协调信号传递。最后,体内电生理实验显示,enTsOrg神经放电更活跃(接近假手术组),可分化出兴奋性主神经元(宽峰电位)与抑制性中间神经元(窄峰电位),而sOrg缺乏清晰的抑制性神经元信号,表明enTsOrg在体内具有更优的神经元成熟度与功能完整性。

图3 空间转录组学与体内电生理学分析揭示enTsOrg中神经元的高级成熟
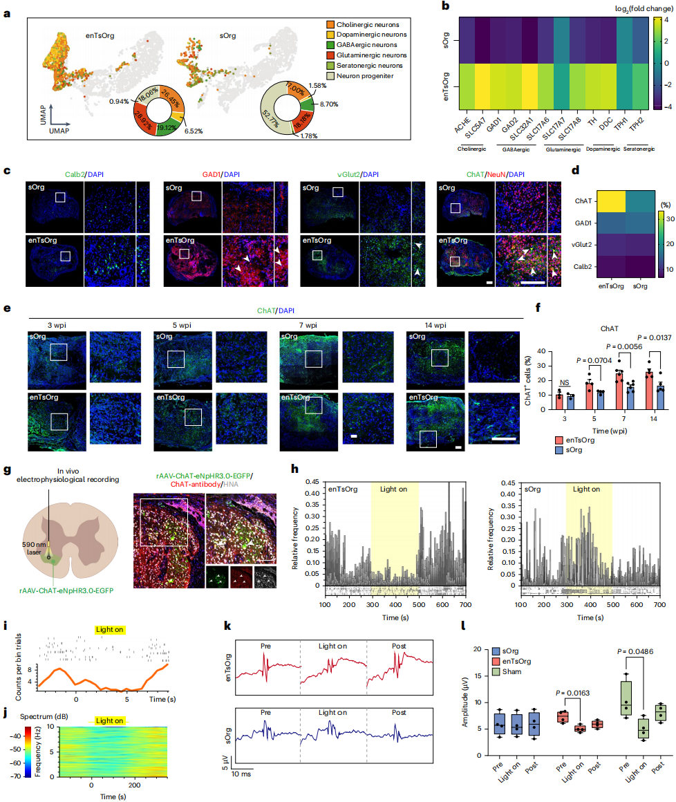
首先通过均匀流形逼近与投影(UMAP)分析与KEGG富集分析,证实enTsOrg可分化出多种神经递质神经元(胆碱能、GABA能等),且GABA能、多巴胺能神经元比例及神经发育相关通路(如轴突导向)富集程度均高于sOrg;经免疫荧光验证,enTsOrg中成熟胆碱能神经元占比达32.94%(sOrg为18.28%),且移植后7-14周数量持续增加。进一步结合光遗传学与电生理实验证实,enTsOrg中的胆碱能神经元可发挥脊髓运动神经元功能——光抑制ChAT⁺神经元后,其推定主神经元(P-PN)放电频率、MEP振幅显著下降,小鼠运动活性降低,而sOrg无此显著效应,表明enTsOrg在细胞组成多样性与功能成熟度上均优于sOrg,具备作为脊髓运动神经元参与宿主神经调控的能力。

图4 enTsOrg移植体展示了与运动功能相关的主要神经元的组成及其功能成熟度
聚焦enTsOrg移植后的节段性与D-V轴模式:首先经ST-seq与RT-qPCR证实,enTsOrg中89.35%的位点具胸段脊髓特征(sOrg为57.08%),胸段标志物基因(Hoxb8、Hoxc9等)高表达,且与损伤部位节段匹配;其次基于D-V轴聚类显示,enTsOrg中运动神经元特征位点占比达53%(sOrg仅13%),腹侧基因(NKX2.2、FoxA2)与背侧基因(Pax2)分别在对应区域特异性表达,空间分布符合神经管生理模式,而sOrg以未成熟细胞为主且基因分布紊乱,表明enTsOrg移植后可维持胸段特异性并形成成熟的D-V轴空间结构,为神经修复提供结构基础。

图5 enTsOrg移植物的发育模式以胸椎脊柱节段和背腹轴特征为典型特征
采用基因表达分析、热图与UMAP分析、免疫荧光实验,证实enTsOrg可分化出与胸段匹配的特化运动神经元亚群(PGC、HMC、MMC)及关键中间神经元(Vsx2⁺/vGlut2⁺),且运动神经元功能相关基因(SV2)与再生相关基因高表达,表达水平显著优于sOrg。运用KEGG通路富集分析(分析运动神经元群体通路)、基因表达检测、蛋白质印迹分析及免疫染色实验,揭示LDH通过调控SHH、RA信号通路促进enTsOrg胸段特化与运动神经元分化;移植后还激活PI3K/AKT等神经保护通路,且泛素介导的蛋白水解通路富集,助力enTsOrg功能发挥,同时通过基因表达检测证实UCHL1、MFN2等神经成熟相关基因的调控作用。借助基于细胞群体物种分组的位点分类实验、细胞群体观察及基因表达检测,发现enTsOrg与宿主细胞整合率更高,可改善宿主微环境(减少屏障细胞、上调再生基因),而sOrg因宿主屏障细胞阻碍整合,表明enTsOrg通过专用神经元分化、信号通路调控及高效宿主整合,为脊髓修复提供关键支撑。

图6 移植的enTsOrg能促进关键神经元的生成与功能化,从而恢复运动功能
本文首次构建具有胸段节段特异性与背腹轴结构的脊髓类器官,解决类器官 “区域匹配”难题;为胸段SCI(占SCI病例较大比例)提供潜在治疗方案,后肢运动功能恢复效果显著,且安全性良好;为神经损伤治疗中“器官特异性类器官”设计提供范式,强调解剖区域匹配对类器官功能整合的重要性。
本文使用的工具病毒均由布林凯斯提供:

同时布林凯斯也可提供各类定制服务请联系小布:18971216876(微信同号)或者咨询所在区域的销售经理获取更多信息。