基因编辑,即对生物体遗传物质进行精确和有针对性的修改,是分子生物学领域最重大的进展之一。从揭示基本的生物学过程到推动医学、农业和生物技术的发展均具有深远的应用。
CRISPR-Cas核酸酶的可编程性使其能够产生位点特异性的DNA双链断裂,从而使其能够快速基因组编辑技术。CRISPR-Cas9属于CRISPR系统中的II型,来自化脓链球菌的典型Cas9蛋白(SpCas9)是第一个被用于基因组编辑的Cas核酸酶,对于外源基因的剪切只需要一个剪切蛋白(Cas9蛋白),因其设计及操作相对简单,在基因编辑中得到了广泛应用,可以实现目的基因的敲除(knock out)、敲入(knock in)和转录激活。

图1 天然的CRISPR-Cas9系统(左)和改造后的CRISPR-Cas9系统(右)(图片来源于网络)
CRISPR-Cas9系统是一种源自细菌和古细菌的适应性免疫防御机制,用于抵御外来病毒和质粒的入侵。天然的CRISPR-Cas9系统由三部分组成:SpCas9 (以下简称Cas9)、crRNA、tracrRNA。其中,crRNA和tracrRNA通过局部碱基配对组成gRNA(guide RNA),gRNA与Cas9蛋白结合后引导Cas9蛋白识别和切割目标DNA序列 (图1左)。为了方便实验设计以及提高gRNA的稳定性,研究者将crRNA和tracrRNA融合成一条RNA [1],并把其称为sgRNA (single-guide RNA) (图1右)。
CRISPR-Cas9基因编辑技术的工作机制可以分为以下几个步骤:
目标基因双链断裂:设计与目标DNA序列互补的单链RNA引导分子(sgRNA),将其与Cas9蛋白复合体一起导入目标细胞。在sgRNA特异性识别下,Cas9蛋白到达基因组特定位点,对双链DNA(dsDNA)进行切割,产生双链断裂(DSB)。
DNA断裂的修复:细胞修复切割产生的DNA断裂时,可以引入突变,从而实现基因的敲除、插入或替换。这一过程可以通过两种主要的DNA修复机制实现:非同源末端连接(NHEJ)和同源重组(HDR)。
改造后的CRISPR-Cas9系统成为研究者做基因编辑的首选工具。CRISPR-Cas9蛋白要成功识别目标序列必须满足两个条件:(1) sgRNA的5'端(约20nt对于SpCas9,或21nt对于SaCas9)与靶DNA序列进行精确的碱基配对;(2) 靶DNA的3'端有合适的PAM序列。对于SpCas9,PAM序列通常是NGG。CRISPR-Cas9切割目标DNA后产生DSB,DSB是一切基于核酸内切酶的基因编辑的基础。
CRISPR-Cas9基因编辑技术主要有两种应用方式:
基因敲除(Knock out,KO):通过CRISPR-Cas9在目标基因上产生DSB,细胞通过NHEJ修复机制修复断裂,修复过程中可能引入插入或缺失突变,导致目标基因功能丧失,是一种常用的基因敲除方法。
基因插入或替换(Knock in,KI):利用HDR机制,在目标基因上特定位置引入特定的突变或外源序列。这需要提供一个含有预期改变的同源DNA模板,细胞利用该模板通过HDR修复DSB,实现特定位点的精确编辑。
另外,CRISPR-Cas9基因编辑技术也可用于基因的转录调节:CRISPR干扰(CRISPRi)和CRISPR激活(CRISPRa)。CRISPRi是指利用催化失活的Cas9(dCas9)与转录抑制子(如KRAB)融合,通过sgRNA引导靶向特定基因的启动子区域,从而抑制基因的转录活性。CRISPRa则是将dCas9与转录激活因子(如VP64)融合,利用sgRNA引导至目标基因启动子区域,增强基因的转录活性。
2022年8月26日,中国科学院深圳先进技术研究院朱英杰团队在Molecular Psychiatry (IF 15.9)期刊发表“A circuit from lateral septum neurotensin neurons to tuberal nucleus controls hedonic feeding”一文[2]。文章主要研究了外侧隔核(lateral septum, LS)中的神经降压素(neurotensin, Nts)阳性神经元在调节享乐性进食(hedonic feeding)中的作用。该研究发现,使用破伤风毒素(TeNT)介导突触失活或借助光遗传学方法沉默Nts阳性神经元,可以特异性地促进对美味食物的进食;通过化学遗传学激活Nts阳性神经元,却抑制对总体食物的摄入。此外,研究使用CRISPR-Cas9基因编辑技术降低 LS中Nts 神经元对于GABA 转运蛋白vGAT和Nts的释放,结果表明GABA的释放可能抑制享乐性进食,而Nts神经元被强烈激活时可以抑制整体进食。该研究揭示了LS的Nts神经元投射到下丘脑结节核(TU)的抑制性环路是调控享乐性进食的关键途径,有助于开发针对享乐性进食的新疗法,用于治疗肥胖症和相关的代谢疾病。

图2 基于CRISPR-Cas9 技术介导的vGAT和Nts敲低实验设计

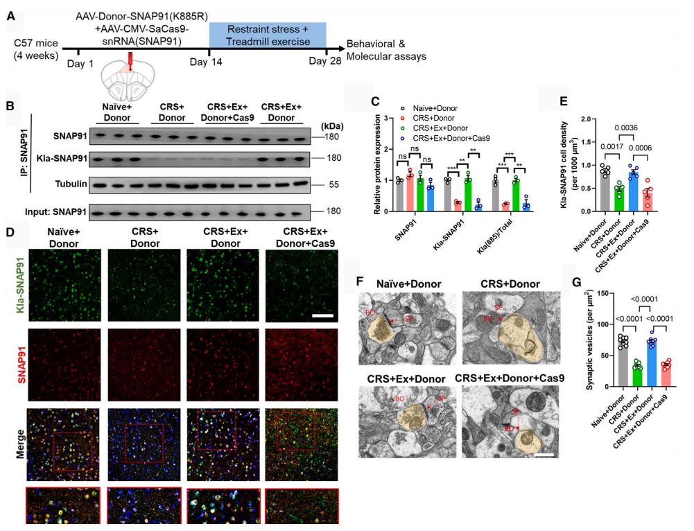
图3 基于CRISPR-Cas9 技术介导的SNAP91点突变模型对突触结构功能的影响

布林凯斯可以为客户提供全套的载体构建、病毒包装及稳转细胞系构建服务,如果各位老师对基于CRISPR-Cas9 技术的基因敲除、敲入等特色定制服务感兴趣,请联系小布18971216876(微信同号)了解详情或下单订购。
参考文献:
[1]Jinek M, Chylinski K, Fonfara I, Hauer M, Doudna JA, Charpentier E. A programmable dual-RNA-guided DNA endonuclease in adaptive bacterial immunity. Science. 2012 Aug 17;337(6096):816-21.
[2]Chen Z, Chen G, Zhong J, Jiang S, Lai S, Xu H, Deng X, Li F, Lu S, Zhou K, Li C, Liu Z, Zhang X, Zhu Y. A circuit from lateral septum neurotensin neurons to tuberal nucleus controls hedonic feeding. Mol Psychiatry. 2022 Dec;27(12):4843-4860.
[3]Yan L, Wang Y, Hu H, Yang D, Wang W, Luo Z, Wang Y, Yang F, So KF, Zhang L. Physical exercise mediates cortical synaptic protein lactylation to improve stress resilience. Cell Metab. 2024 Sep 3;36(9):2104-2117.